Опухоль размером с лимон удалили у ставропольца в Пятигорске

Пациент обратился за медицинской помощью после потери подвижности левой половины тела.
Медики в Пятигорске провели сложную операцию, в ходе которой из головы пациента извлекли опухоль, сопоставимую по размерам с лимоном. После хирургического вмешательства мужчина начал быстро восстанавливаться.
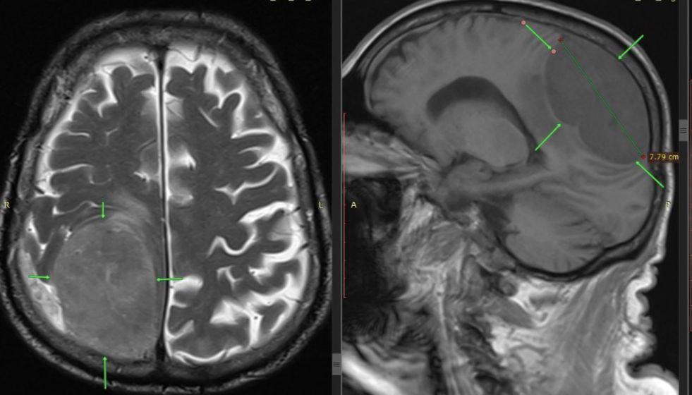
85-летний ставрополец обратился за помощью, когда у него перестала функционировать левая нога и вся левая сторона тела. Изначально симптомы указывали на инсульт, но экстренное обследование выявило истинную причину – гигантскую опухоль диаметром 8 на 7 сантиметров. Новообразование располагалось в правой теменно-затылочной области мозга, контролирующей движения левой половины тела.
Нейрохирурги выполнили трепанацию черепа и полностью удалили опухоль. Операция завершилась успешно, двигательные функции левой стороны тела у пациента восстановились, а мозг вернулся к своему нормальному положению.

Хирурги извлекли из головы пациента новообразование, сравнимое по величине с лимоном.
«При удалении опухоли такого большого объема у пациента происходят резкие колебания внутричерепного давления, вызывая смещение ствола головного мозга. А это в свою очередь серьезно влияет на работу сердца и уровень артериального давления вплоть до критических нарушений. Данная ситуация потребовала особого внимания и крайне тяжелой и сложной работы не только нейрохирургов, но и врача, обеспечивающего анестезиологическое пособие операции», — говорит нейрохирург ГКБ Пятигорска Вадим Зотов.

Состояние больного стабилизировалось после успешно проведённой операции.
Другой неординарный случай произошёл в Ессентуках, где в больницу доставили трёхлетнего мальчика с жалобами на сильную боль и вздутие живота. Рентгенография показала наличие в толстой кишке десятков мелких инородных тел. В дальнейшем выяснилось, что ребёнок проглотил более 25 камней, однако родители не смогли определить, когда именно это случилось.




















